Etiquetas
Hola a todos. Es muy frecuente encontrarse gente que ha sufrido un traumatismo importante, frecuentemente en accidentes de tráfico o deportivos y que se han roto el fémur, la tibia o ambos, y que te cuentan que se les puso un clavo con algún tornillo, pero que no saben muy bien qué ni como. Sabéis los que os interesáis en este blog que su intención es divulgativa y dirigida para todos los públicos, no sólo para profesionales por ello vamos a intentar aclararlos de la forma más sencilla posible.

Empecemos como siempre por el principio. La especialidad de traumatología y cirugía ortopédica, como dice su propio nombre, en su primera acepción se dedica fundamentalmente al tratamiento de traumatismos. Evidentemente los traumatismos pueden ir desde un simple esguince a la fractura de diversos huesos que provoquen incluso la muerte. Los traumatólogos realizamos cirugía de las fracturas fundamentalmente cuando se produce un desplazamiento o deformidad que dificulte la curación y recuperación del paciente. También cuando la fractura es abierta, es decir, con exposición de hueso que multiplica las posibilidades de infección y complicaciones. Hay otras indicaciones pero quedémonos con lo básico. Os diré también que no todos los huesos tienen la misma importancia vital. Por ejemplo, la fractura de un fémur conlleva una pérdida sanguínea que ronda el litro y medio de sangre. Evidentemente no es igual que romperse, por ejemplo, la falange de un dedo. Pero ojo, si esta falange está desplazada y mal tratada su deformidad puede implicar dificultad para la realización de actividades cotidianas por lo que a veces es necesario operarlas.
Los traumatólogos disponemos de un arsenal terapéutico importante para el tratamiento quirúrgico de las fracturas. Antiguamente los tratamientos con tracciones y yesos eran lo más común, recordad esos cómics donde tras un estupendo trompazo, aparecía el perjudicado con un montón de vendas, escayolas y cuerdas tirando de diferentes partes del cuerpo (tracciones). Hoy en día os diré que el término OSTEOSÍNTESIS identifica la reparación quirúrgica de las fracturas reduciéndolas y fijándolas de forma estable con diversos materiales, entre los que se incluyen fundamentalmente placas, tornillos, agujas, fijadores externos, alambres y clavos entre otros. Fijaros en el vídeo de mi primer post y veréis diferentes tipos de osteosíntesis dependiendo del hueso afectado y de si la fractura afecta o no a la articulación. Esto es importante ya que las fracturas articulares producen artrosis (degeneración articular) precoz y si no son reparadas también producirán impotencia funcional grave. Imaginaros por un momento que no fueseis capaces de estirar o doblar la rodilla y que aún encima os doliese al hacerlo.
Las fracturas articulares con indicación quirúrgica suelen ser tratadas con placas y tornillos de reconstrucción y otros dispositivos. Pero, tras tan larga introducción, por otra parte necesaria, vamos al tema fundamental de hoy. Los clavos endomedulares. Quizá sea un pequeño homenaje a estos dispositivos por el gran desconocimiento de la gente de la calle en general e incluso de algunos profesionales sanitarios.
Los clavos salvan vidas. Me explico. Acabo de operar recientemente un joven accidentado de tráfico politraumatizado. Rompió los dos fémures, una tibia, las dos rótulas y tienen diversas fracturas en los pies. Bien. Sólo el sangrado que todo ello produce puede hacer entrar al paciente en un importante shock hipovolémico que acabe con su vida. Pero además acarrean múltiples complicaciones, como embolias grasas, inestabildad cardiorrespiratoria…Por ello es fundamental estabilizar sus fracturas. Dependiendo del momento y del estado del paciente esto se puede hacerse de varias formas, pero la fijación definitiva de huesos largos fracturados (fémur, tibia fundamentalmente) se realiza con clavos endomedulares, es decir, que se introducen por el canal medular del hueso. Recordad un mínimo de anatomía y sabréis que los huesos largos tienen una diáfisis, una metáfisis y una epífisis. Y que hay dos tipos de hueso, el esponjoso y el cortical (caña).
Nos estamos refiriendo fundamentalmente a fracturas en accidentados. Pensaréis en gente joven, pero he de deciros que la fractura de cadera, que es una fractura femoral por fragilidad ósea (osteoporosis), es tratada en un elevadídimo pordentaje de casos con enclavado. Y cada vez somos más viejos en este mundo…Me atrevería a deciros (lo siento) que unos cuantos de vosotros tenéis una probabilidad muy elevada de ser operados de esta patología en el futuro (tranquilos, eso quiere decir que viviréis mucho).
Pues bien, el tratamiento quirúrgico de las fracturas de diáfisis y metáfisis de huesos largos del cuerpo se basa fundamentalmente en el enclavado endomedular. Sí, poner un clavo, como suena ¿verdad?
Y ¿cómo son estos clavos? Pues una imagen vale más que mil palabras. Hay clavos de diferentes casas comerciales. En la siguiente figura os muestro uno destinado a fracturas de fémur con dos montajes diferentes según el tipo de fractura.
La introducción de estos clavos es por una incisión muy pequeña. Además se pueden extraer tras la curación. No hay que abrir toda la pierna porque se deslizan por el canal femoral. Esto hace que el riesgo de infección y complicaciones derivadas de la herida y destrucción de tejidos blandos sean muy bajas con una recuperación muy temprana. A veces las incisiones se deben ampliar para REDUCIR correctamente la fractura con instrumentos quirúrgicos adicionales pero eso es una cuestión mucho más técnica. Las cosas son más complicadas de lo que a veces parecen y las fracturas pueden ser terribles con un montón de fragmentos. No es necesaria un reducción “perfecta”, pero sí una alineación correcta de los principales segmentos fracturarios. Nuestro objetivo fundamental es darles ESTABILIDAD para que consolide el hueso fracturado y se produzca su unión y remodelación posterior. Si esto no es así tendremos un desastre y muchos problemas. Fijaros en los tornillos que atraviesan el clavo. Su objetivo es dar estabilidad rotacional y axial a la fractura, y en algunos casos favorecer la síntesis de la fractura, como en muchas fracturasde cadera, por ejemplo. Su número y colocación dependen de consideraciones técnicas en las que no me voy a extender. Los primeros clavos no los utilizaban y los fragmentos podían rotar a su libre albedrío.
Lo más importante de todo esto es como os dije que obtenemos una estabilidad y unas condiciones favorables para que la consolidación se produzca, pudiendo el paciente utilizar el miembro afectado en muy poco tiempo. Si ese fémur se tratase de forma “conservadora” la unión no se produciría en meses si es que une, y con las comorbilidades asociadas: inmovilización, férulas incómodas, rigidez, baja laboral…
A los muchos compañeros fisioterapeutas que nos siguen os diré que esto permite una fisioterapia pasiva inmediata, y que una vez que el médico lo permita, una carga y realización de ejercicios activos en un corto espacio de tiempo. Cuando opero y coloco un clavo con buena estabilidad, el paciente está sentado a las 24 horas y se levanta inmediatamente en cuanto su condición general lo permite.
La historia del enclavado endomedular también tiene sus curiosidades. Se sabe de algún artificio aislado utilizado con marfil y otros elementos para fijar fracturas, pero realmente el despegue de esta técnica se debe a su presentación en la Sociedad Alemana de Cirugía por el cirujano alemán Künstcher en 1940. Su historia va unidad a la de la segunda guerra mundial donde salvó la vida de innumerables heridos de guerra pese a que al principio, como muchas otras innovaciones, fue rechazado por grandes cirujanos de la época. Desde aquí un pequeño homenaje a aquellos que todavía hoy nos permiten salvar vidas y no han sido reconocidos ni premiados como grandes Nobel aún mereciéndolo.
Evidentemente no voy a hablaros de las características fisiológicas, técnicas quirúrgica, posibles complicaciones…etc , que forman parte de nuestra actividad como cirujanos ortopédicos y traumatólogos y que no tendrían mucho sentido en este blog.
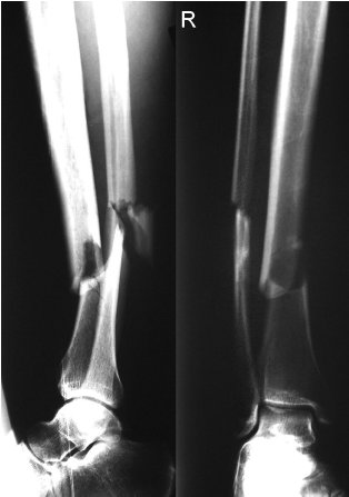
Para finalizar un caso clínico. Veamos como operáis: Accidente tráfico. Fractura de tibia y peroné. Fijaos en el desplazamiento, muy agresivo para los tejidos circundantes:
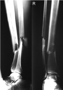
Y finalmente la solución del caso. Evidentemente, como os dije, no voy a explicaros por qué el nº de tornillos y ciertas características técnicas. Esto debe hacerse en un foro profesional. Comprobar que la reducción como os decía no es perfecta, pero la mejora de la alineación y la estabilidad proporciona las condiciones necesarias para una buena curación:
Esta vez el tema da para muchos derivados: fracturas, tipos, consolidación, placas, agujas, accidentes…Podéis preguntar lo que queráis, añadir vuestras experiencias, sugerencias y hasta correcciones…toda propuesta será bienvenida.
Un saludo.
doctor;tengo roto el menisco externo y el interno;ademas de un quiste en el menisco,el traumatologo me ha dicho de realizarme una artroscopia para quitar el quiste y los meniscos rotos,tengo 43 años,ya se que cada persona evoluciona de diferente manera pero me puede decir cuanto tiempo tengo que estar de baja,trabajo de servicio tecnico,y cuanto tiempo estare sin poder practicar ciclismo? mas o menos ya se que me dira que el especialista es el que lo vera, pero es para hacerme una idea,gracias
De forma generalizada sin patologías asociadas, dependiendo del estado físico-deportivo y solo tratando artroscópicamente los meniscos, pongo aproximadamente un mes para iniciar el deporte. La baja laboral es algo muy subjetivo y depende mucho del postoperatorio y de la actividad a realizar.
hola doc, soy de República Dominicana, hace 13 días me caí en el almacén donde trabajo, con una hoja de repollo o col, tengo rotura de la tibia mas arriba del tobillo y rotura de peroné cerca de la rodilla,, en la placa vi que el peroné se le quedo un pedazo de hueso pegado de la rodilla como de 6 o 7 cm, bueno el doctor me puso un yeso y me dijo que había un 70 % de que me curara de manera natural y 30 % que me coloque clavos, estoy tomado diclofenac y altranm 800 para el dolor y la hinchazon, aunque no se me ha hinchado por ningun lado, mañana me tomare una radiografia para ver como va, mi fractura es parecida a la conminuta de la primera imagen pero los huesos no estan tan alejado como en la grafica. le agradeceria su sabia opinion.
Es difícil darte una opinión sin ver tus radiografías, lo que significaría consultarte. Confía en tu médico.
quisiera que me ayudaran este fue mi resultado de mi resonancia el dia de hoy
datos sugestivos de ligamentitis del cruzado anterio, cambios intrasustanciales de menisco medial con predominio en del cuerno posterior estoy asustada veo tantos comentarios k me ponen de nervios
El principal comentario al que debes atenerte es al de yu traumatólogo en consulta tras haber explorado la rodilla: por sí solo
a la RNM no tiene tanto valor.
hola. doctor. tengo 24 años. y compito en ciclismo. me fracture el fémur en un accidente de transito. y me pusieron un clavo intramedular. mi pregunta es . podre volver a competir en el ciclismo sin q esto me cause dolor.
Si, si las cosas se han hecho bien.
Hola tengo 21 anos en 2013 tube un accidente de trafico en el que me fracture la tibia y el perone me han inyroducido un clavo endomedular en la tibia fue una fractura abierta de tercer grado han pasado ya un poco mas del ano y medio y quisiera quitarmelo ya que.me molesta,tambien quiero saber si podria ocurrir algo al sacarlo ya que he ido a varios traumatologos que no comparten la.misma opinion uno me dice que es mejor quitarlo y el otro todo lo contrario..
La verda que yo quisiera quitarmelo pero no quiero que se me quede nimgun defecto al andar o en el hueso. Espero respuesta pronto y gracias de antemano
No deberia haber problema por quitarlo. Lo unico es q hay q pasar por una nueva intervencion y a veces retirar material puede ser mas dificil de lo q parece.
hola tengo 40 años tuve un accidente el año pasado ruptura de femur me colocaron una placa y 8 tornillos de los cuales 4 de ellos de la parte superior estan despegados en realidad no me molestan pero el hueso no ha soldado y el traumatologo me recomendo la colocacion de un clavo endomedular mi pregunta es si me puede recomendar un hospital donde operarme y cual seria el costo.
Puedes venir a nuestra consulta cuando quieras. Allí te informaremos de lo q se te debe hacer y del coste.
Hola tengo 19 años y en el 2013 tuve un accidente de trafico en el que sufrí una fractura abierta de tibia y peroné, me colocaron clavo y tornillos y a finales de este mes me lo van a retirar porque me molesta en la rodilla, quisiera saber cuanto tiempo suele tener de recuperación esa intervención ya que los médicos no me dicen nada claro, en dos semanas podré andar? Nadie quiere arriesgarse pero necesito una aproximación de recuperación para hacerme a la idea, muchas gracias de antemano. Un saludo
Es difícil de saber porque retirar un clavo puede ser muy fácil o muy difícil y no lo sabes hasta q estas en quirófano. Si la fractura ha consolidado y no hay problemas en aprox un mes deberías estar haciendo vida normal. Pero son solo estimaciones.
Hola Doctor
Me rompi el radio en un accidente de trafico
Y me pusieron una placa con 5 tornillos
Uno de ellos es un poco mas grande que los demas, al principio de la rehabilitacion no me molestaba porque no hacia fuerza, ahora llevo un mes con peso y el musculo se esta desarroyando y me pincha y molesta mucho el tornillo incluso el musculo se monta encima del tornillo y el pinchazo es peor.
Usted que opina al respecto?
Debes comentárselo a tu cirujano
Buenas tardes Dr, Una pregunta, se puede regresar a practicar futbol soccer teniendo un clavo intramedular en el femur?
Si
Buenos días,
En una semana me quitan el material de osteosíntesis del tobillo que me fracturé hace casi dos años. Se trata de una placa y 9 tornillos en el maleolo del peroné, quisiera saber cuánto tiempo de baja (aproximado) cree que voy a necesitar; no me refiero para hacer deporte, sino para poder caminar sin problema.
Gracias.
No lo se!!!! No te he visto la lesión!!!
Buena tarde Dr:
Tengo 21 años, este año tuve un accidente de tráfico, tuve fractura expuesta de tibia y peroné, perdí como 6 ó 7 cms de tejido óseo. Me colocaron fijadores externos, me hicieron una rotacipon de colgajo, y ahora me van a colocar un clavo utn con sus tornillos, hueso desmineralizado ostecure e injerto oseo de mi cadera. Quisiera saber si podré recuperarme totalmente, en cuánto tiempo aprox. a como estaba antes del accidente, para poder practicar deportes y/o correr, usar tacones y volver a mi vida normal. Y si más adelante debo retirarme el material.
Espero su respuesta a cada una de mis dudas.
De antemano muchas gracias. Bendiciones.
Debes hacerle todas esas preguntas a tus cirujanos. La situación ni es fácil y nadie mejor q ellos para estimar plazos. Suerte.
Hola, tengo una pregunta, los clavos hay que sacarlos obligatoriamente? Tengo un hermano que fue operado de una fratura abierta entre la tibia y el perone; desde hace como 15 o 20 años no recuerdo bien. El dice que a veces le duele y se preocupa por ello. Muchas gracias
No es obligatorio sacarlos. Solo si dan problemas.
Hola Doctor. Intentaré ser breve.Tuve una fractura abierta de tibia y peroné limpia en el año 1993. Me pusieron un clavo endomedular de tipo Marchetti en la tibia. Al cabo del año en la revisión me recomendaron dejarlo dentro de por vida mientras no molestara ¿?. En los años posteriores, sin hacer ningún deporte, de vez en cuando me dolía y lo solucionaba a base de ibuprofeno tres o cuatro días. En 2009 empecé a jugar al pádel y poco después tras un partido empezó a dolerme muchísimo. Estuve un mes ingresado en el hospital a base de calmantes. Los traumas me dieron muchas largas para no sacarme el clavo. Objetaban que hacía mucho tiempo de aquello, que el clavo estaba muy osteointegrado y que no tenían instrumentos para sacarlo. Me hicieron una gammagrafía y el diagnostico fue «sospecha de osteomielitis». Me mandaron a casa cuando paso el dolor. Tras esto dejé de nuevo de hacer cualquier deporte. Prácticamente no me ha vuelto a doler en estos últimos 10 años. Tengo dos preguntas para usted: 1-¿la osteomielitis no existió o acaso desapareció? 2-He empezado ha practicar ciclismo y no me duele nada. ¿Debo dejar el ciclismo ante la posibilidad de caer y doblar o romper el clavo de la tibia? ¡MUCHAS GRACIAS!
1-veo que en ningún momento se confirmó la osteomielitis.
2-mi opinión es que no debes de dejar el ciclismo por esos motivos.
El clavo de Marchetti tiene una configuración especial que hace muy difícil su extracción sin ser agresivos, se intenta sacar solo en situaciones especiales como una infección.